Información clínica de Esclerosis Tuberosa
ESCLEROSIS TUBEROSA
OMIM: #191100
DEFINICIÓN
La esclerosis tuberosa es una enfermedad hereditaria del grupo de las facomatosis, afectando principalmente piel y sistema nervioso central. Al principio se le caracterizo por la triada de Vogt: retraso mental + epilepsia + angiofibromas faciales (pápulas de color rojo de piel que aparecen en dorso de nariz y pómulos). Actualmente la enfermedad se diagnostica por la presencia de muchos criterios clínicos y otros órganos afectados, ya que se sabe únicamente 10% de los pacientes con esclerosis tuberosa cumplen con dicha triada.
SINÓNIMOS
Complejo de esclerosis tuberosa
Enfermedad de Bourneville
INCIDENCIA
La incidencia de la esclerosis tuberosa es de 1 por cada 12,000 recién nacidos vivos.
CAUSAS DE LA ENFERMEDAD Y CONSEJO GENÉTICO
La causa de la esclerosis tuberosa son mutaciones (cambios patológicos, irreversibles y heredables en la secuencia del DNA) en algunos de los siguientes 2 genes: TSC1 (cromosoma 9) o TSC2 (cromosoma 16), estos codifican para las proteínas llamadas tuberina y hamartina respectivamente, entre las funciones de estas proteínas esta regulación del crecimiento de las células, lo cual explica el desarrollo de tumores en estos pacientes. El estudio molecular (identificación de mutaciones) en estos genes está disponible, sin embargo hasta en el 20% de los pacientes con esclerosis tuberosa por datos clínicos no se encuentran anomalías en ninguno de los genes.
Para que se presente la enfermedad es suficiente tener una mutación en uno de los genes TSC1 o TSC2 (todos portamos 2 copias de cada uno de los genes, ya que cada copia se encuentre en 1 de los 2 cromosomas 9 y 16 respectivamente), por lo que la forma de herencia es autosómica (que puede afectar a hombres y mujeres) dominante, siendo el riesgo de repetición de la enfermedad de 50% para descendencia esto en caso de que uno de los padres tenga la enfermedad, porque hasta las 2/3 partes de los pacientes con esclerosis tuberosa ocurren mutaciones de novo, término que se refiere a que los padres no están afectados y la alteración se encuentra solo en el paciente, sin embargo para la descendencia de este el riesgo de herencia será del 50% para cada embarazo. Vale la pena mencionar también que en general las enfermedades con herencia autosómica dominante se relacionan con edad paterna avanzada, es decir papás sanos mayores de 45 años tienden a tener mayor riesgo para que sus hijos cursen con enfermedades autosómicas dominantes.
CLASIFICACIÓN
No existe ninguna clasificación o grados de afección en esclerosis tuberosa, existen criterios clínicos mínimos que el paciente debe tener para poder ser diagnosticado con la enfermedad.
MANIFESTACIONES CLÍNICAS
Los criterios diagnósticos en esclerosis tuberosa se dividen en mayores y menores, siendo un diagnóstico posible cuando se tiene uno mayor o dos menores; probable uno mayor mas uno menor y definitivo cuando se tiene 2 mayores o uno mayor mas dos menores.
Los criterios mayores son:
- Angiofibromas faciales (pápulas de color rojo) en cara, hasta en el 75% de los pacientes apareciendo por lo general al final de la infancia y adolescencia.
- Manchas hipopigmentadas (manchas blancas), son de forma lanceolada (alargada), hasta en el 90% de los pacientes detectándose desde etapa neonatal o infancia temprana. Para que sean criterio diagnóstico tienen que presentarse 3 o más.
- Placa de Shagreen (placa en piel de apariencia de “cuero curtido”), más frecuente en región lumbar y hasta en el 30% de los pacientes, por lo general se manifiesta en la adolescencia.
- Fibromas ungueales (pequeña proliferación carnosa adyacente a uñas), hasta en el 20% de los pacientes y presentándose más frecuente en adolescencia o adultos.
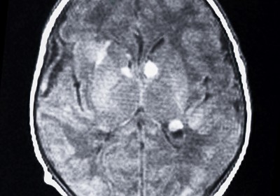
- Tuberes corticales (tumores pequeños en cerebro), hasta en el 95-100% de los pacientes, de estos hasta el 90% en lóbulo frontal y 95% de los casos son múltiples. En la mayoría de los casos son los causantes de las crisis convulsivas en los pacientes con esclerosis tuberosa (estas se presentan hasta en el 90% de los pacientes). Se detectan con estudio de resonancia magnética cerebral.
- Nódulos subependimarios (tumores hamartomatosos benignos en cerebro), hasta en el 90-100% de los pacientes con esclerosis tuberosa, la mayoría de las veces se encuentran calcificados y en la región del agujero de Monro. Se detectan con tomografía cerebral.
- Astrocitoma de células gigantes (tumor en cerebro), se reporta en el 1 al 26% de los pacientes con esclerosis tuberosa, suelen ser benignos y la localización es en el agujero de Monro, la edad de presentación más frecuente es entre 8 y 18 años, son mas grandes comparados con los nódulos subependimarios (>1cm) ya que la localización suele ser la misma.
- Hamartomas retinianos (tumores en ojo), son múltiples.
- Rabdomioma cardiaco (tumor benigno en corazón), hasta en el 55-65% de los pacientes, es el único criterio que se puede detectar incluso prenatalmente ya que se presenta por lo general desde etapa fetal hasta el primer año de vida, la gran mayoría (80%) son asintomáticos y sufren regresión antes de los 4 años.
- Angiomiolipoma renal (tumor renal benigno), hasta en el 55-75% de los pacientes con esclerosis tuberosa.
- Linfangioleiomiomatosis pulmonar (tumores benignos en pulmón), en el 1-2% de los pacientes con esclerosis tuberosa, siendo más frecuente en las mujeres afectadas, de presentación en adultos.
Cuando se presenta angiomiolipoma renal y linfangioleiomiomatosis pulmonar en el mismo paciente se cuenta como un solo criterio mayor.
Los criterios menores son:
- Lesiones cutáneos en “confeti” (manchas blancas en forma de puntos en piel).
- Quistes renales múltiples, en el 18-50% de los pacientes por lo general se detectan en niñez y se relacionan cuando se encuentran anomalías en gen TSC2.
- Pits en esmalte dentario (puntos u pequeñas depresiones en dientes).
- Fibromas gingivales (pequeños tumores en encías).
- Pólipos rectales hamartomatosos, por general asintomáticos y son la manifestación gastrointestinal más frecuente.
- Quistes óseos.
- Tractos migratorios en sustancia blanca (alteraciones superficiales de sustancia blanca de cerebro).
- Placa acromica en retina.
- Hiperplasia micronodular multifocal de neumocitos (alteración en pulmones), más frecuente en mujeres.
NIVEL DE ATENCIÓN MÉDICO NECESARIO
- Genética
- Neurología
- Oftalmología
- Cardiología
- Dermatología
- Estomatología
- Nefrología
TRATAMIENTO
No existe a la fecha tratamiento curativo, únicamente se debe buscar y detectar todas las posibles manifestaciones clínicas de la enfermedad para poder dar manejo por la especialidad correspondiente.
Las crisis convulsivas son de difícil manejo, siendo intratables hasta en el 25-30% de los pacientes. La mayoría de las veces estas correlacionan con la presencia de tuberes corticales, siendo posible que la resección quirúrgica de estos sea de ayuda para el control.
Rapamicina está en estudio para tratamiento de los astrocitomas.
Los angiofibromas faciales se les pueden dar tratamiento tópico pues cuestiones estéticas, así mismo los fibromas ungueales si son dolorosos.
HISTORIA NATURAL DE LA ENFERMEDAD
La evolución es muy dependiente de las manifestaciones clínicas, estas pueden ser muy variables de paciente a paciente, incluso el cuadro es dependiente del gen mutado (se refiere el cuadro suele ser más grave cuando la mutación se encuentra en gen TSC2) así mismo dependiendo del tipo de tumor y donde se desarrolla.
COMPLICACIONES Y PRONÓSTICO
Entre las complicaciones documentadas en pacientes con esclerosis tuberosa se encuentran:
Epilepsia: esta casi siempre relacionada con la presencia de tuberes corticales, y hasta el 30% incontrolables.
Retraso mental: hasta el 50% de los pacientes lo presentan, y no siempre está relacionado con la presencia de crisis convulsivas (1/4 sin este antecedente).
Microcefalia: con o sin disminución de sustancia blanca, y tampoco se encuentra siempre relacionada a presencia de crisis convulsivas.
Rabdomioma cardiaco: por volumen o ubicación puede condicionar arritmia o falla cardiaca en algunos casos.
Linfangiomiomatosis pulmonar: puede dar algunos síntomas como disnea, pneumotórax recurrente, quilotórax.
Hiperplasia micronodular multifocal de neuromocitos: en algunos casos se presenta disnea, tos,
Angiomiolipoma renal: puede dar dolor abdominal, vomito, masa palpable, hematuria (sangre en orina), anemia (hemoglobina baja), hipertensión (presión alta).
Quistes renales múltiples: hipertensión (presión alta), falla renal.
En general se refiere una supervivencia de hasta el 40% de los pacientes a los 35 años.
Deja un comentario →



Tengo a mi nieto iker palma con esclerosis tuberosa, y estoy agradecida con Dios que hemos tenido la fortuna de que se le detectó a tiempo, y es poco su atrazo ahora debería hablar pero no lo hace, al principio me espantaba todo lo que se relacionaba con la palabra esclerosis ahora estamos atentos para cualquier cosa que se le presenté,, siempre orando por todos los niños con esclerosis , un saludo,,
Comentar →Buenísima información, solo que la incidencia es de 1 de cada 6mil casos de acuerdo a la TS Alliance.
Comentar →tengo mi hija de 25 años con et,muy buena la informacion .somos de ARGENTINA
Comentar →tengo mi hija de 25 años con et,muy buena la informacion .somos de ARGENTINA
Comentar →tengo un hijo de 14 años con esta enfermedad somos de argentina muy buena la informacion espero sigan informando sobre esta enfermedad y que dios ilumine a los cientificos y a los medicos en general y tambien a nuestros representantes paraque nos ayuden a encontrar la solucion vivo desesperada mi hijo tiene complicaciones renales y en la piel tiene toda la nariz enrrojecida y llena de granos fui a buenos aires y me dieron un crema que no le hace nada por favor cualquier investigacion al respecto les agradeceria muchas gracias
Comentar →contestar a ruthmabel
Mi hija le acaban d dectectar esta enfermedad tiene sus manchas blancas y por la nariz rojo como lunar y conbulciono ase7 meses epilepcia y le acabo d aser una resonancia y le salio esos tumores kisiera mas informacion
Comentar →